[종양외과]3년간 한 곳만 핥던 고양이, 단순 습관이 아닌 '피부 비만세포종(MCT)'
2026-04-30

안녕하세요, 고양이의 건강과 행복을 최우선으로 생각하는 백산동물병원입니다.
고양이 보호자님들이라면 아이들이 몸을 구석구석 핥으며 단장하는 '그루밍' 모습을 자주 보실 겁니다. 그루밍은 지극히 정상적인 행동이지만, 만약 유독 특정 부위만 집착적으로 핥아서 털이 빠지고 피가 날 정도라면 그것은단순한 습관이나 스트레스가 아닌 '피부 질환'이나 '종양'의 강력한 신호일 수 있습니다.
오늘은 무려 3년이 넘는 오랜 기간 동안 왼쪽 앞다리 과잉 그루밍으로 고생하다 본원에 내원하여 정확한 원인을 찾고 치료를 진행한 환자의 케이스를 소개해 드리겠습니다.
▶ 환자 정보 및 내원 당시 상태
이 환자는 오랜 기간 왼쪽 앞다리의 특정 부위만 집착적으로 핥았습니다. 심할 때는 피가 나고 상처가 아물 새가 없어서, 보호자님께서 어쩔 수 없이 아주 오랜 기간 넥카라를 씌워두어야만 했습니다. 타 병원에서 세포 검사를 받아보았으나 당시에는 특별한 이상 소견이 없었다고 합니다.
▲ 내원 당시 아이의 왼쪽 앞다리 상태입니다.
지속적인 그루밍으로 인해 해당 부위는 털이 모두 빠져 있고(탈모), 피부가 경계가 불분명하게 부풀어 오른 구진(Papule) 양상을 보이고 있습니다. 핥아서 생긴 상처와 함께 약간의 진물(삼출물)도 관찰되어 아이가 겪었을 불편함이 고스란히 느껴집니다.
▶ 정밀 검사 및 진단 (세포 검사)
본원 의료진은 단순한 피부염이나 습관성 행동이 아닐 가능성이 매우 높다고 판단하여, 해당 병변에 대해 세포학적 검사(FNA, 미세침 흡인 검사)를 다시 한번 꼼꼼하게 실시했습니다.
그 결과, 이전 병원 검사와 달리 백산동물병원의 현미경 시야에서 놀라운 결과가 확인되었습니다.

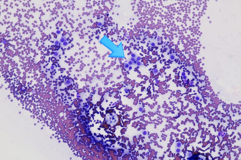
▲ 본원에서 실시한 세포 검사 현미경 사진입니다.
파란색 화살표가 가리키는 것들이 모두 비만세포(Mast cell)들입니다.
보라색 세포질 과립을 가득 머금은 비만세포들이 유의미하게 대량으로 관찰되는 것을 볼 수 있습니다.
이 검사 결과를 바탕으로, 아이를 3년간 괴롭혔던 과잉 그루밍의 진짜 원인은 단순 피부염이 아닌 '피부 비만세포종(Cutaneous Mast Cell Tumor, MCT)'으로 진단되었습니다.
▶ 여기서 잠깐! 고양이 피부 비만세포종이란?
고양이 피부에 생기는 종양 중 두 번째로 흔합니다. 특징적인 모양이 없고 단순 뾰루지나 혹처럼 보여서 방치되기 쉽습니다. 이 종양 세포가 분비하는 물질(히스타민 등) 때문에 심한 가려움증을 유발하여 아이들이 피가 날 때까지 핥거나 긁게 만듭니다.
▶ 치료 및 조직검사 최종 결과
피부 비만세포종의 가장 확실하고 근본적인 치료법은 수술을 통해 종양 조직을 제거하는 것입니다. 다행히 고양이의 피부 비만세포종은 강아지와 달리 대부분 양성 경과를 보이며, 넓은 부위를 도려내지 않고 병변 부위만 깔끔하게 제거해 주어도 예후가 매우 좋은 편입니다.
본원 의료진은 이러한 고양이 피부 비만세포종의 특성을 고려하여, 아이가 겪을 수술적 부담과 피부 결손을 최소화하면서도 원인이 되는 종양 조직만 안전하게 제거하는 피부 절제 수술을 진행했습니다.
절제해 낸 조직은 정확한 악성도 평가와 잔존 종양 세포가 없는지(절제면 평가) 확인하기 위해 전문 외부 실험실로 조직검사를 의뢰했으며, 며칠 후 도착한 결과지는 우리의 진단을 다시 한번 확진해 주었습니다.
▲ 최종 조직검사 결과지입니다. > * Diagnosis (진단): Mast Cell Tumor (비만세포종)
다행히 종양은 수술을 통해 주변 조직 침습 없이 완벽하게 제거(Complete excision)되었음이 확인되었습니다.
고양이의 피부 비만세포종은 양성 경과를 보이는 경우가 많아, 이번 케이스처럼 발견 후 완벽히 절제했다면 예후가 아주 양호합니다.
아이는 수술 부위가 잘 아문 후, 3년간 써왔던 무거운 넥카라를 벗어던지고 더 이상 다리를 핥지 않게 되었습니다. 보호자님께서도 아이가 평온하게 지내는 모습을 보며 크게 안도하시고 만족해하셨습니다.
▶ 백산동물병원이 보호자님께 드리는 당부
이번 케이스는 고양이가 특정 부위를 집착적으로 핥는 행동이 단순한 스트레스나 습관이 아니라, 종양에 의한 가려움증 때문일 수 있다는 것을 잘 보여줍니다.
- 아이 몸에 평소에 없던 작은 혹이나 뾰루지가 생겼나요?
- 한 곳만 털이 빠지고 피가 날 때까지 그루밍을 하나요?
그렇다면 지체하지 말고 고양이 전문 병원인 백산동물병원을 찾아주세요. 한 번의 정확한 진단과 세심한 수술이 아이들의 오랜 고통을 끝내고 건강한 삶을 되찾아줄 수 있습니다.
백산동물병원은 언제나 아이들의 눈높이에서, 최선의 진료를 다하겠습니다. 감사합니다.